Abbyblog Pictures

<< Prev page
Next page >>
1 2 3 4 5 6 7 8 921

Various

Album containing pictures for the blog

Frosting cookies
Frosting cookies
Loving brother and sister
Loving brother and sister
Happy New Year!
Happy New Year!
A message for the doctor.
A message for the doctor.
Close up of Barbie message.
Close up of Barbie message.
We all went for haircuts, what's wrong with this picture?
We all went for haircuts, what's wrong with this picture?
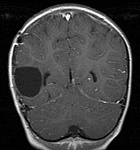
This is a slice from Abby's Jan 20, 2005 MRI.  The gray circle in the left center indicates where the tumor was.  The lack of any bright spots suggests no additional tumor activity.
This is a slice from Abby's Jan 20, 2005 MRI. The gray circle in the left center indicates where the tumor was. The lack of any bright spots suggests no additional tumor activity.
Our family, before going to the Cheescake Factory for a post-MRI celebration.
Our family, before going to the Cheescake Factory for a post-MRI celebration.
Eyelashes are growing back!
Eyelashes are growing back!
Neupogen in the garbage!
Neupogen in the garbage!
Yea Party at School
Yea Party at School
Thank you Everyone!
Thank you Everyone!
<< Prev page
Next page >>
1 2 3 4 5 6 7 8 921

Click on the small photos to see a bigger version, the numbers to see different pages, or the Next or Previous page links to move back and forth. You can also pick photos for printing or emailing on the individual photo display page.